(click on the image to enlarge)
Some images worth learning from are posted here (Note: Most of them are plagiarised. But, sources are referenced)
11/23/2014
EKG artifact
(Click on the image to enlarge)
This would have been reported as tachycardia if Channel III was not available! (Not sure what the reason for this artifact is. Recording was auto-triggered by the event monitor. Patient does not know; was probably sleeping).
11/01/2014
Conduction system in VSD
Course of His bundle in VSD: Figure below shows the relationship for membranous VSD and inlet-muscular VSD (Note: Inlet-muscular VSD is different from inlet-VSD in AVSD.
Inlet-muscular VSD has a rim of myocardium separating the VSD margin from the tricuspid valve annulus; whereas, in inlet-VSD in AVSD, AV valve annulus itself if part of the VSD margin.
(See also separate posting for relevant images).
Image from Anderson RH, Wilcox BR. J Card Surgery. 1992;7:17-34.
Cardiac Index in Children (Normal values)
(Click on the image to enlarge)
From Jim Lock's Green Book (Cath book) 2nd edition. 2000. page 58.
Data reportedly pooled from several previous publications (listed below) - Data from 140 patients of age range 12 day to 16 yrs.
1) Sproul & Simpson. Stroke volume and related hemodynamic data in normal children. Pediatr 1964;65:327-33.
2) James & Rowe. The pattern of response of pulmonary and systemic artery pressures in newborn and older infants to short periods of hypoxia. J Pediatr 1957;51:5-11.
3) Lucas R.V. Jr. et al. Maturation of pulmonary vascular bed. Am J Dis Child 1961;101:467-75.
4) Rowe and James. The normal pulmonary arterial pressure during the first year of life. J Pediatr 1957;51:1-4.
5) Kjellberg S.R. et al. Diagnosis of congenital heart disease. Chicago: Year book publishers. 1955.
6) Cummings GR. Hemodynamics of supine bicycle exercise in "normal" children. Am Heart J. 1977;93:617-22.
7) Lock, Einzig and Moller. Hemodynamic responses to exercise in normal children. Am J Cardiol. 1978;41:1278-84.
9/19/2014
Van Praagh's terminology
Birth defects 1972;8:4-23.
AJC 1964;13:510-28.
&
Heart disease in infancy and childhood. Ed. Keith JD, Rowe RD and Vlad P. 1978.
See posting on this subject: Van Praagh's segmental terminology
See posting on this subject: Van Praagh's segmental terminology
Heterotaxy
(Click on the image to enlarge)
Prognosis:
80% mortality for asplenia in first year. Slightly better in the past 2 decades.
Ref:
Phoon. AJC 1994;18:581-7
m,f,o-anisosplenia. AJC 1986;58:1113-4 & Surgery 1972;71:125-9.
Phoon. Where is the spleen? Cardiol Young 1997;7:347-357.
8/30/2014
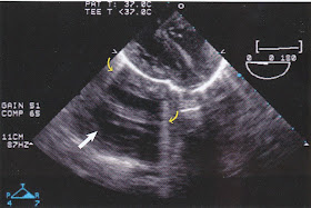
TEE - Basic Views & terminology
(From TEE for CHD Ed. by Wong PC & Miller-Hance WC. Springer-Verlag 2014)
(Click on the image to enlarge)
TEE - Probe position terminology
(Click on the image to enlarge)
Transesophageal echocardiography - Terminology of probe positions.
(From TEE for CHD. Ed. by Wong PC &Miller-Hance WC. Springer-Verlag 2014)
8/19/2014
VSD enlargement (Surgery)
To enlarge the VSD without causing AV block...
D-loop ventricles - Raise the roof (Enlarge VSD in anterior-superior direction)
D-loop ventricles - Raise the roof (Enlarge VSD in anterior-superior direction)
L-loop ventricles - Lower the floor (Enlarge VSD in posterior-inferior direction)
Without injuring the aortic valve in the process!
Without injuring the aortic valve in the process!
7/28/2014
ICU: Postoperative AV block - Recovery
Study period: 1991-4. Boston Children's Hospital. n=2698 surgeries (73% on bypass).
Overall incidence of AV block was 3% (n=54).
Common diagnoses associated with development of AV block were VSD, Tetralogy, LVOTO repair, L-TGA and others.
32 recovered conduction in 30 days after surgery (Graph below shows the postop. day at which conduction recovered in these 32 patients).
9 did not recover conduction in 30 days after surgery.
Weindling SN., et al. Duration of complete atrioventricular block after congenital heart surgery. Am J Cardiol 1998;82:525-527.
7/23/2014
ICU: Arterial Line Artifact - "Standing Wave"
Pardon the poor quality images.
Newborn, s/p Norwood procedure.
Upper panel shows arterial pressure traces from 2 different lines - Right radial arterial (Red) and Umbilical arterial lines (White). There is a "standing wave" or "fling" in the red trace. This is secondary to being a small/distal vessel, smaller catheter, and state of peripheral vascular tone (vasoconstricted state).
Lower panel shows the same patient, approx. 30 min after the loading dose of Milrinone. Presumably, there is adequate vasodilation of the peripheral artery that the "standing wave" or "fling" is no longer evident or not as prominent as before!
(Click on the images to enlarge)
4/28/2014
Echo artifacts
Five types of artifacts:
1) Mirror image artifact (Created by residual waves continuing to travel beyond the object of interest. Then, gets reflected back from interfaces beyond. These waves are once again reflected by the object giving rise to the second image.
2) Reverberation artifact
3) Side lobe artifact (Produced by radial vibration of piezo electric crystals, instead of the longitudinal vibrations of the main beam)
1) Mirror image artifact (Created by residual waves continuing to travel beyond the object of interest. Then, gets reflected back from interfaces beyond. These waves are once again reflected by the object giving rise to the second image.
2) Reverberation artifact
3) Side lobe artifact (Produced by radial vibration of piezo electric crystals, instead of the longitudinal vibrations of the main beam)
4) Grating lobes artifact (no image) occurs in array transducers (?)
5) Acoustic shadowing (occurs due to highly reflective interface such as calcification).
(All images are from TEE for congenital heart disease by Wong PC, Miller-Hance WC. Springer Verlog London. 2014.)
4/10/2014
3/16/2014
Aortic arch anomalies - Vascular ring (Developmental basis)
Images are from Freedom's CHD Textbook of Angiography Vol. II (1997) p.948.
Based on Edwards Hypothetical Double Arch.
Numbers in lower diagram indicate possible sites of regression. Vascular anomalies occur according to the site of regression.
Normal left arch - 1, 7 regress.
Right arch with mirror-image branching - 2,8 regress.
Left arch with aberrant RSCA - 1, 3 regress.
Right arch with aberrant LSCA - 2,6 regresss.
Figure out other vascular anomalies...similarly:
Double arch - both arches patent
Double arch with atresia of a segement of left arch
Double arch with atresia of a segement of right arch
Left arch with right descending aorta
Left arch with isolation of RSCA
Right arch with left ductus (retroesophageal)
Right arch with isolation of LSCA
Right arch with aberrant left innominate artery
Right arch with isolation of left innominate artery
Coarctation Prediction: Carotid-Subclavian Artery Index
Images are from Eur J Cardiothorac Surg 2008;34:1051-6.
CSA index was proposed in Dodge-Khatami et al. Ann Thorac Surg 2005;80:1852-7.
CSA index = Diameter of distal transverse aorta/Length of distal transverse aorta.
3/11/2014
TPA (Alteplase) for Femoral Pulse Loss after Cardiac Catheterization
Am J Cardiol 2003;91:908-910
Alteplase:
Bolus 0.1 mg/kg over 5-10 min, followed by 0.5 mg/kg/hr x 2 hrs.
Resume Heparin at 17 Units/kg/hr for at least 4 hrs after Alteplase infusion completes.
(Heparin infusion may be continued without interruption during Alteplase infusion).
If there is no improvement at about 4-6 hrs from first dose of Alteplase, repeat dose may be given. Important to give heparin infusion for at least 4-6 hrs after completion of any dose of Alteplase. (To deal with increased thrombotic tendency after Alteplase therapy.
Alteplase:
Bolus 0.1 mg/kg over 5-10 min, followed by 0.5 mg/kg/hr x 2 hrs.
Resume Heparin at 17 Units/kg/hr for at least 4 hrs after Alteplase infusion completes.
(Heparin infusion may be continued without interruption during Alteplase infusion).
If there is no improvement at about 4-6 hrs from first dose of Alteplase, repeat dose may be given. Important to give heparin infusion for at least 4-6 hrs after completion of any dose of Alteplase. (To deal with increased thrombotic tendency after Alteplase therapy.
3/01/2014
2/05/2014
Prosthetic Valve - Valve orifice area (St Jude Valves)
St Jude valve (Regent AGFN-756) Specifications:
Valve orifice area (cm2):
17 mm - 1.87
19 mm - 2.39
21 mm - 2.9
23 mm - 3.45
25 mm - 4.02
27 mm - 4.69
29 mm - 5.44
Valve orifice area (cm2):
17 mm - 1.87
19 mm - 2.39
21 mm - 2.9
23 mm - 3.45
25 mm - 4.02
27 mm - 4.69
29 mm - 5.44
3DRA protocol
General rule: Inject into chamber or vessel proximal to area of interest.
All injections are over 5 secs. (4 sec acquisition starts after 1 sec delay to allow for uniform opacification from the beginning of image acquisistion)
Contrast: Isoview
Great arteries: (Aorta, PA, RV-PA conduits)
(i) Contrast:Saline dilution = 2:1
(ii) Total volume of injection: 3 ml/kg over 5 seconds
(iii) Generally, need to inject prior to segment of interest. May inject in MPA or aortic root for distal vessels
Central systemic veins: (SVC, IVC)
(i) Contrast:Saline dilution = 2:1
(ii) Total volume of injection: 0.75 - 1.5 ml/kg
(iii) Inject into proximal vein
Glenn anastamosis & Branch PAs:
(i) Contrast:Saline dilution = 2:1
(ii) Total volume of injection: 1.5 ml/kg
(iii) Inject into high SVC or Innominate vein
(iv) Note: Wash-out from A-P collateral flow into branch PA may interfere with 3D reconstruction.
Fontan:
(i) Contrast:Saline dilution = 2:1
(ii) Total volume of injection: 1.5 ml/kg (Divided for simultaneous SVC/IVC injections. Usually, 50/50. But, this may vary based on flow characteristics of SVC/IVC flow into each branch PAs).
(iii) Note: Wash-out from A-P collateral flow into branch PA may interfere with 3D reconstruction.
Pulmonary veins:
(i) Undiluted contrast
(ii) Total volume of injection: Varies depending upon vein size, degree of stenosis, collateralization, etc.
(iii) Inject as PA wedge angiogram. Begin injection, but wait until contrast appears in pulmonary veins before initation of rotation.
Selective Coronary Artery:
(i) Undiluted contrast
(ii) Total volume of injection: Inject enough to opacify vessel during the entire acquisition. Amount varies based on vessel size, stenosis, etc.
Surgical shunts (e.g. BT shunt):
(i) Undiluted contrast
(ii) Total volume of contrast: Enough to opacify the vessels during the entire acquisition. Amount varies depending on anatomy.
(iii) Inject using a end-hole catheter with proximal balloon occlusion (if possible)
(Adapted from Denver Children's Hospital Protocol. Courtesy: Dr. Tom Fagan).
All injections are over 5 secs. (4 sec acquisition starts after 1 sec delay to allow for uniform opacification from the beginning of image acquisistion)
Contrast: Isoview
Great arteries: (Aorta, PA, RV-PA conduits)
(i) Contrast:Saline dilution = 2:1
(ii) Total volume of injection: 3 ml/kg over 5 seconds
(iii) Generally, need to inject prior to segment of interest. May inject in MPA or aortic root for distal vessels
Central systemic veins: (SVC, IVC)
(i) Contrast:Saline dilution = 2:1
(ii) Total volume of injection: 0.75 - 1.5 ml/kg
(iii) Inject into proximal vein
Glenn anastamosis & Branch PAs:
(i) Contrast:Saline dilution = 2:1
(ii) Total volume of injection: 1.5 ml/kg
(iii) Inject into high SVC or Innominate vein
(iv) Note: Wash-out from A-P collateral flow into branch PA may interfere with 3D reconstruction.
Fontan:
(i) Contrast:Saline dilution = 2:1
(ii) Total volume of injection: 1.5 ml/kg (Divided for simultaneous SVC/IVC injections. Usually, 50/50. But, this may vary based on flow characteristics of SVC/IVC flow into each branch PAs).
(iii) Note: Wash-out from A-P collateral flow into branch PA may interfere with 3D reconstruction.
Pulmonary veins:
(i) Undiluted contrast
(ii) Total volume of injection: Varies depending upon vein size, degree of stenosis, collateralization, etc.
(iii) Inject as PA wedge angiogram. Begin injection, but wait until contrast appears in pulmonary veins before initation of rotation.
Selective Coronary Artery:
(i) Undiluted contrast
(ii) Total volume of injection: Inject enough to opacify vessel during the entire acquisition. Amount varies based on vessel size, stenosis, etc.
Surgical shunts (e.g. BT shunt):
(i) Undiluted contrast
(ii) Total volume of contrast: Enough to opacify the vessels during the entire acquisition. Amount varies depending on anatomy.
(iii) Inject using a end-hole catheter with proximal balloon occlusion (if possible)
(Adapted from Denver Children's Hospital Protocol. Courtesy: Dr. Tom Fagan).
2/02/2014
ASD schematic diagram
(Click on the image to enlarge)
From "Congenital Malformations of the Heart" by Helen B. Taussig. Harvard Univ. Press, Cambridge, MA 1947. Page 355.
(Reference quoted in the diagram is: Patten, B.M. Developmental defects at the foramen ovale. Am J Path 1938;14:135-162)






























